16È¸ÂøÇÑ ±â¼ú, ÂøÇÑ È°¿ë(Good Tech, Good Use)
¸ñ·Ï
Äڷγª¿Í ½Î¿ì´Â AI¡¦ÀÚ°¡°Ý¸®ÀÚ ¹®ÁøÇϰí Ä¡·áÁ¦µµ ã°í
[uŬ¸° 2020]¨ç Àü¿°º´ ¸·´Â AI
Á¶¼ºÈÆ ±âÀÚ | 2020.04.06 05:00ÀÌ ½Ã½ºÅÛÀº ÀÚ°¡°Ý¸®ÀÚµî ´ë»óÀÚ¿¡°Ô ÀÚµ¿À¸·Î Àüȸ¦ °É¾î ¹ß¿ ¹× ±âħ, ¿ÀÇÑ ¿©ºÎ µîÀ» üũÇÏ°í µ¥ÀÌÅ͸¦ °ü¸®ÇÏ´Â ½Ã½ºÅÛÀÌ´Ù. AI ÄÝÀº ´ë»óÀÚ¿¡ µû¶ó ¹®´äÀ» ´Ù¸£°Ô ÇÒ ¼ö ÀÖ´Ù. ¿µ¾î, Áß±¹¾î µî ¿Ü±¹¾î ¼ºñ½º·Îµµ Á¦°øµÈ´Ù.
¼¿ï½Ã´Â AI ÄÝÀ» ÅëÇØ Äڷγª19 ¸ð´ÏÅ͸µÀÇ »ç°¢Áö´ë¸¦ ÇØ¼ÒÇÑ´Ù´Â °èȹÀÌ´Ù. ¼¿ï½Ã Àç³´ëÃ¥º»ºÎ¿¡ ÀÇÇϸé 2ÀÏ ±âÁØ Àüȸð´ÏÅ͸µ ÇÊ¿äÇÑ »ç¶÷Àº 2038¸íÀ¸·Î, ÀÚ°¡°Ý¸®ÀÚ Áß ¾ÈÀüº¸È£¾ÛÀ» ¼³Ä¡ÇÏÁö ¾ÊÀº »ç¶÷ÀÌ ÁÖ ´ë»óÀÌ´Ù.
21¼¼±â Àηù ÃÖ¾ÇÀÇ Àü¿°º´ÀÌ ºÒ¸®´Â ¡®Äڷγª19¡¯ ¹æ¿ª ÇöÀå¿¡ AI(ÀΰøÁö´É)ÀÌ ¼Ó¼Ó ÅõÀԵǰí ÀÖ´Ù. ¸Ó½Å·¯´× ±â¼úÀ» ÅëÇØ ¹æ´ëÇÑ ºòµ¥ÀÌÅ͸¦ ºü¸£°í Á¤È®ÇÏ°Ô Ã³¸®ÇÔÀ¸·Î½á Äڷγª È®»êÀ» »çÀü¿¡ ÆÄ¾ÇÇϰųª ´Ù¾çÇÑ AI ±â¼úÀÌ ¿ªÇÐÁ¶»ç³ª ¹æ¿ª, ȯÀÚÁø´Ü°ú ¼±º°, Ä¡·áÁ¦ °³¹ß µî ¿©·¯ ºÐ¾ß¿¡¼ ¸ÍȰ¾àÇϰí ÀÖ´Ù.
»óÇÏÀÌ º¸°Ç´ç±¹ÀÌ Äڷγª19 ÀǽÉȯÀÚ Á¶»ç¿¡ AI À½¼ººñ¼ ±â¼úÀ» ÀÌ¿ëÇÑ °Ô ´ëÇ¥ÀûÀÌ´Ù. AI À½¼ººñ¼°¡ °³ÀÎ ½Å¿øÀ̳ª °Ç° »óŸ¦ Áú¹®ÇØ Á¤º¸¸¦ ¼öÁýÇϰí, ´ë»óÀÚ ´äº¯¿¡ µû¶ó 14ÀÏ µ¿¾È ÀÚ°¡°Ý¸® ¶Ç´Â °Ë¿ª¼Ò·Î ¾È³»ÇÑ´Ù. ÀǽÉÀÚ 200¸í ±âÁØ Á¶»ç°üÀÌ Á÷Á¢ Àüȸ¦ °É¸é 2~3½Ã°£ °É¸®´ø ¿ªÇÐÁ¶»ç ¾÷¹«°¡ AI À½¼ººñ¼°¡ µ¿½Ã´Ù¹ßÀûÀ¸·Î ÁøÇàÇØ ´Ü 5ºÐ ¸¸¿¡ ³¡³ª°Ô µÆ´Ù.
ÀüÁÖ½Ã¿Í ¼¿ï½Ãµµ AI ÄÝ ½Ã½ºÅÛÀ» µµÀÔÇß´Ù. ½Ã½ºÅÛÀ» °ø±ÞÇÑ Çѱ۰úÄÄÇ»ÅÍ °ü°èÀÚ´Â ¡°¿ªÇÐÁ¶»ç¿¡ ÇÊ¿äÇÑ ÇàÁ¤·ÂÀ» ÁÙ¿© ÈļӰ¨¿° ¹æÁö³ª ¹æ¿ª µî¿¡ ´õ ¿ª·®À» ±â¿ïÀÏ ¼ö ÀÖ°í ½º¸¶Æ®Æù¿¡ Àͼ÷Ä¡ ¾ÊÀº ³ëÀÎÀ̳ª »çȸÀû ¾àÀÚ µî¿¡°Ôµµ È¿°úÀûÀÎ Á¶»ç¹æ¹ý¡±À̶ó°í ¼³¸íÇß´Ù.
Äڷγª19 AI°¡ °¡Àå ¸ÕÀú ¹ß°ß, È®»ê¸ðµ¨µµ °³¹ßÁß¾Õ¼ ij³ª´ÙÀÇ ºí·ç´åÀº AI ¾Ë°í¸®µëÀ» ÅëÇØ Àü¼¼°è ´º½º¿Í Ç×°ø±Ç ÆÇ¸Å, Àα¸Åë°èÇÐ ÀÚ·á, ±âÈĵ¥ÀÌÅÍ µî 100°¡Áö µ¥ÀÌÅͼ¼Æ®¸¦ ºÐ¼®ÇØ Äڷγª19 ¹ßº´ »ç½ÇÀ» ¼¼°èº¸°Ç±â±¸(WHO)º¸´Ù ¾Õ¼± Áö³ÇØ ¸» óÀ½ °¨ÁöÇß°í ¹ßº´À§ÇèÀÌ ³ôÀº µµ½Ã¸¦ ¿¹ÃøÇϱ⵵ Çß´Ù. ÀÌó·³ ÃÖ±Ù Àü¼¼°è ¿¬±¸ÀÚµéÀÌ Äڷγª È®»ê¼¼¿Í ¿ªÇÐÁ¶»ç¿¡ AI¸¦ ÀÀ¿ëÇϰí ÀÖ´Ù. ÇÁ¶û½º ¼Ò¸£º»´ë ¿¬±¸ÆÀÀº ¾ÆÇÁ¸®Ä« ´ë·úÀÇ Äڷγª19 ¹ßº´ À§ÇèÀ» ºÐ¼®ÇÏ´Â ¸ðµ¨À» °³¹ßÇߴµ¥, ÀÌó·³ Äڷγª19¿¡ Ãë¾àÇÑ ³ª¶ó¸¦ Ãß·ÐÇÔÀ¸·Î½á WHO°¡ Àη°ú ÀÚ¿øÀ» º¸´Ù È¿À²ÀûÀ¸·Î ÁýÇàÇϵµ·Ï µ½´Â´Ù.
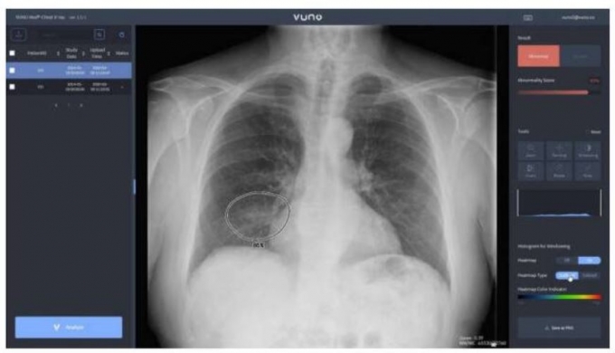
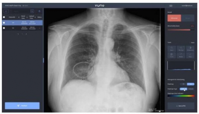
20Ãʸ¸¿¡ È®ÁøÀÚ ÆÄ¾Ç¡¦Ä¡·áÁ¦¡¤¹é½Å °³¹ßµµ AI ¾øÀÎ ºÒ°¡´ÉÄڷγª19 Áø´ÜºÐ¾ß¿¡µµ AI¸¦ Ȱ¿ëÇϰí ÀÖ´Ù. Áß±¹ ¾Ë¸®¹Ù¹Ù´Â »êÇÏ ¿¬±¸±â°üÀÎ ´Þ¸¶¿øÀ» ÅëÇØ ȯÀÚÀÇ ÈäºÎ CTÆÇµ¶¿¡ AI °ËÁø½Ã½ºÅÛÀ» µµÀÔÇØ ´«±æÀ» ²ø¾ú´Ù. ¾Ë¸®¹Ù¹ÙÀÇ AI´Â 20ÃÊ ¸¸¿¡ 96% Á¤È®µµ·Î È®ÁøÀÚ¸¦ ÆÇº°Çس»´Âµ¥, ȯÀÚ ÇÑ ¸í´ç 300Àå °¡·®À» È®ÀÎÇØ¾ßÇÏ´Â ÆÇµ¶ÀÇ ºÎ´ãÀÌ ´ëÆø ÁÙ¿´´Ù.
ÀÌ¿¡¾Õ¼ Äڷγª19 Áø¿øÁöÀÎ ¿ìÇÑ ½Ã³» Áß³º´¿ø µî 34°³ ÀÇ·á±â°üÀº Áß±¹ ÇöÁö ½ºÅ¸Æ®¾÷ ÀÎÆÛºñÀüÀÌ °³¹ßÇÑ AI±â¹Ý CT ÆÇµ¶ ÇÁ·Î±×·¥À¸·Î 3¸¸2000°ÇÀÇ ÀǽÉȯÀÚ¸¦ ¹ß°ßÇß´Ù. ±¹³»¿¡¼µµ ºä³ë¿Í JLKÀνºÆÑ¼Ç µî ÀÇ·á IT±â¾÷µéÀÌ È®ÁøÀÚÀÇ ÈäºÎ X·¹ÀÌ ¿µ»óÀ» AI·Î ¼öÃʳ»·Î ÆÇµ¶ÇØ ÁßÁõȯÀÚ¸¦ ºÐ·ùÇÏ´Â ±â¼úÀ» °¢°¢ ȫõ±º°ú ´ë±¸Áö¿ª µî Áö¿ªº´¿øµé¿¡ Á¦°øÇϰí ÀÖ´Ù.
¾Õ¼ ±¸±ÛÀÇ µö¸¶Àεå´Â ¾ËÆÄÆúµå(AlphaFold) AI½Ã½ºÅÛÀ¸·Î Äڷγª ¹ÙÀÌ·¯½ºÀÇ ´Ü¹éÁú ±¸Á¶ ¿¹Ãø°á°ú¸¦ ³»³õ°í, À̸¦ Àü¼¼°è Á¦¾à¡¤ÀÇ·á¾÷°è¿¡ °øÀ¯Çß´Ù. Áß±¹ °Ë»öÆ÷ÅÐ ¹ÙÀ̵Π¿ª½Ã ¹ÙÀÌ·¯½º ±¸Á¶¸¦ ¿¹ÃøÇÏ´Â AI¾Ë°í¸®µë ¸®´Ï¾îÆúµå(Linearfold)¸¦ °³¹ßÇØ ÇöÁö ¿¬±¸Áø°ú Çù¾÷ ÁßÀÌ´Ù. IBMµµ ½´ÆÛÄÄ ¼¹ÔÀ¸·Î ±âÁ¸ Çã°¡µÈ ÀǾàǰ¿¡¼ »õ·Î¿î ¾àÈ¿¸¦ ã´Â ¾à¹° ÀçâÃâ ¿¬±¸¸¦ ½ÃµµÇØ 7°³ ¾à¹°À» Äڷγª19 Ä¡·áÁ¦ È帷Π¼±º°Çß´Ù.
±¹³»¿¡¼µµ µð¾îÁ¨ÀÌ Áö³ 1¿ù AIÀÇ µö·¯´× ±â¹Ý ¾à¹°-´Ü¹éÁú »óÈ£ÀÛ¿ë ¿¹Ãø ¾Ë°í¸®µëÀ» Ȱ¿ëÇØ Äڷγª 19 Ä¡·á È¿°ú¸¦ ¿¹ÃøÇß°í HIV(¿¡ÀÌÁî ¹ÙÀÌ·¯½º) Ä¡·áÁ¦ µîÀ» Èĺ¸ ¾à¹°·Î Á¦½ÃÇß´Ù. ¾Æ·ÐƼ¾îµµ AI ±â¹Ý ½Å¾à°³¹ß ÅëÇÕ Ç÷§Æû ¹× ½Å¾à Èĺ¸ ¹°Áú °³¹ß ¿¬±¸¸¦ Áö³ÇغÎÅÍ ÁøÇà ÁßÀε¥ Äڷγª19 µî ½ÅÁ¾ °¨¿°º´¿¡ ´ëÇÑ ´ëÀÀ½Ã°£ÀÌ ÁÙ¾îµé °ÍÀ¸·Î ±â´ëµÈ´Ù.
